Before and After Orthodontic Treatment Gallery

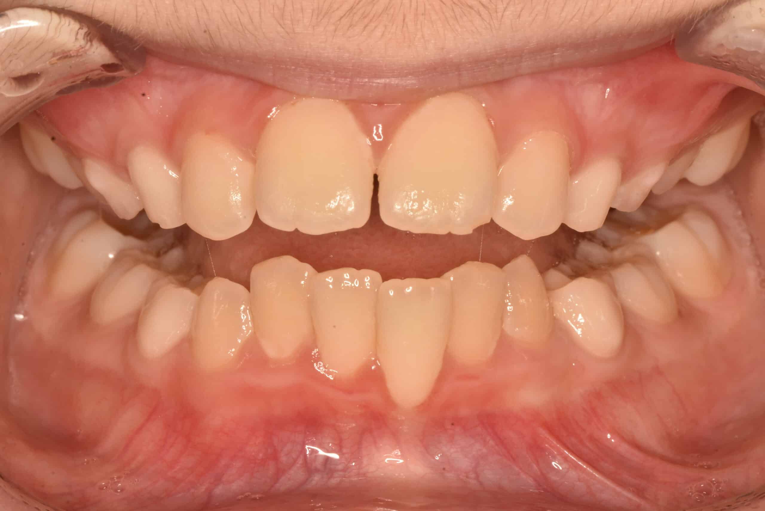
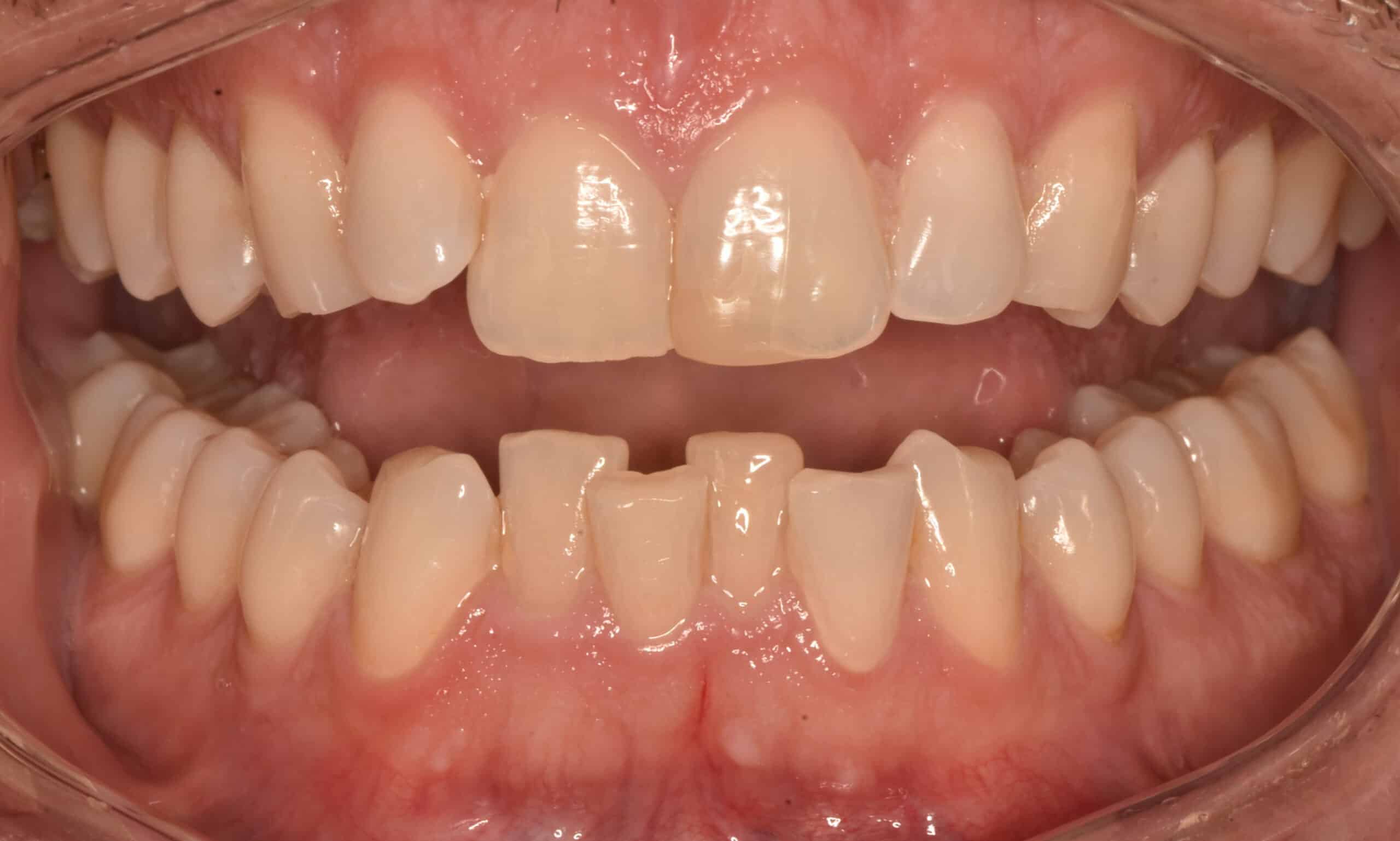
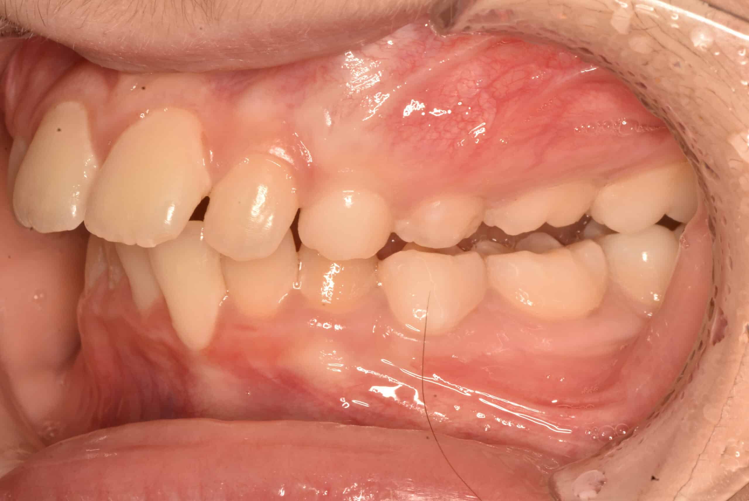
See the difference personalized orthodontic care can make. At Coastal Smiles Family Orthodontics, patients of all ages have achieved healthier, more confident smiles through braces, Invisalign®, and customized treatment plans designed for long-term stability.

Each transformation reflects the attention to detail and clinical expertise that guide every case. Under the care of Dr. Samantha Cardinal, treatment is carefully planned to ensure results that are not only beautiful, but functional and lasting.

Check out our orthodontic gallery to explore real patient outcomes and discover what’s possible for your smile.

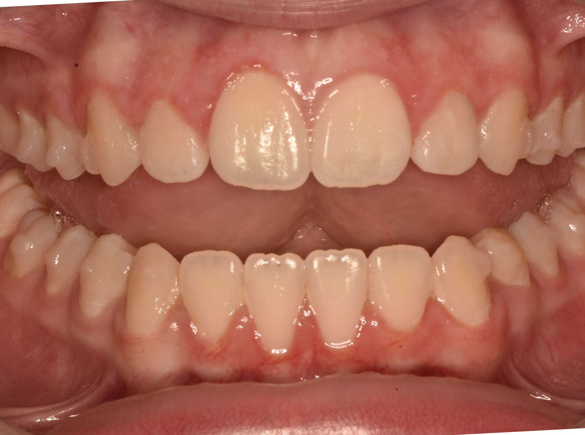
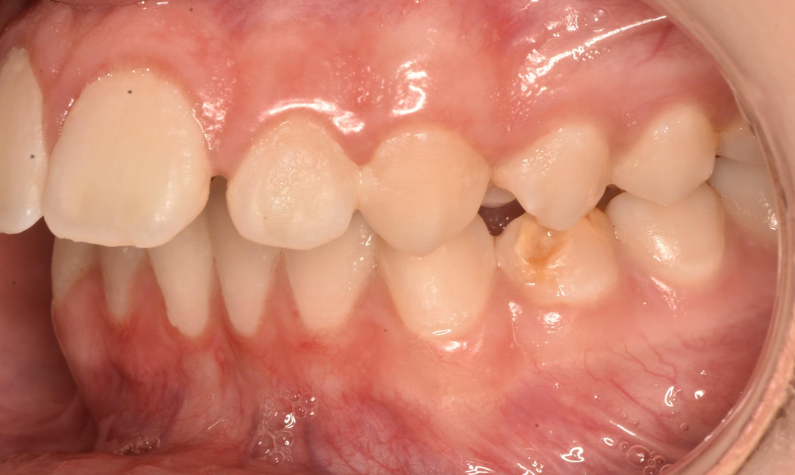
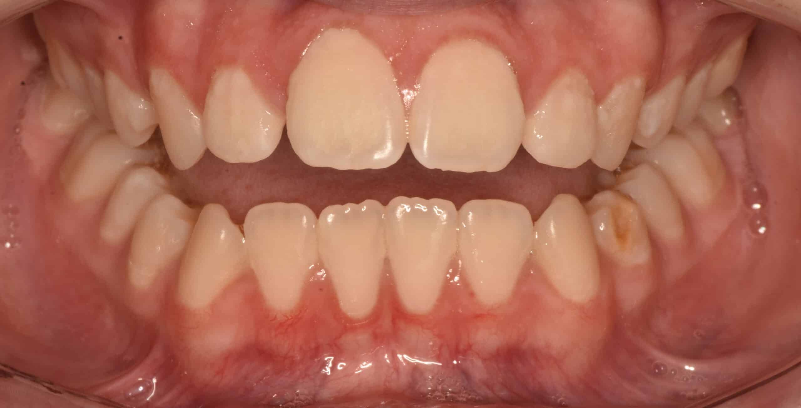
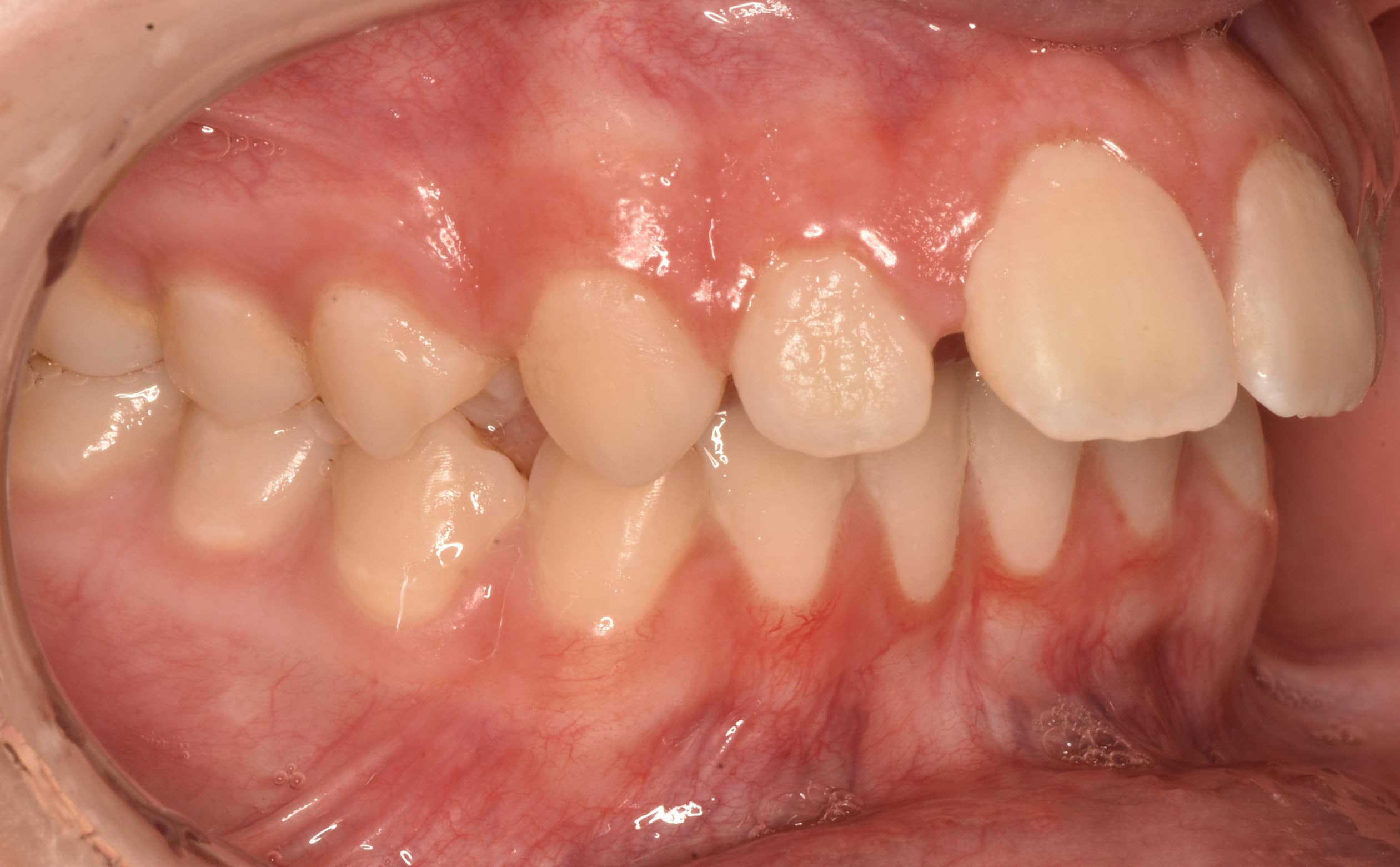
Before

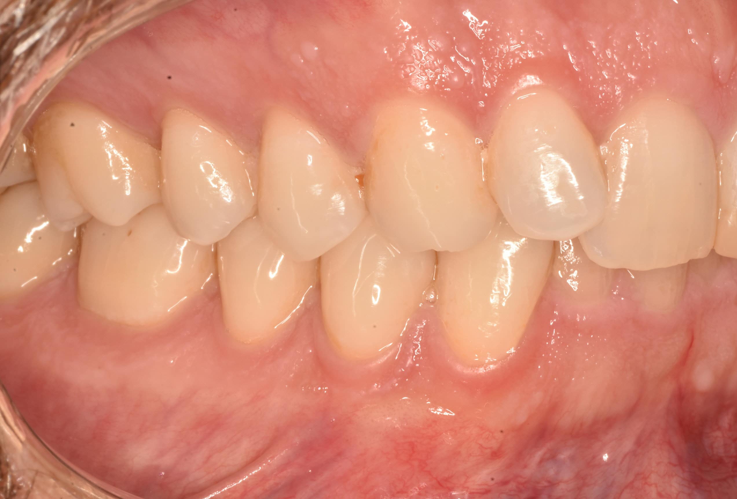
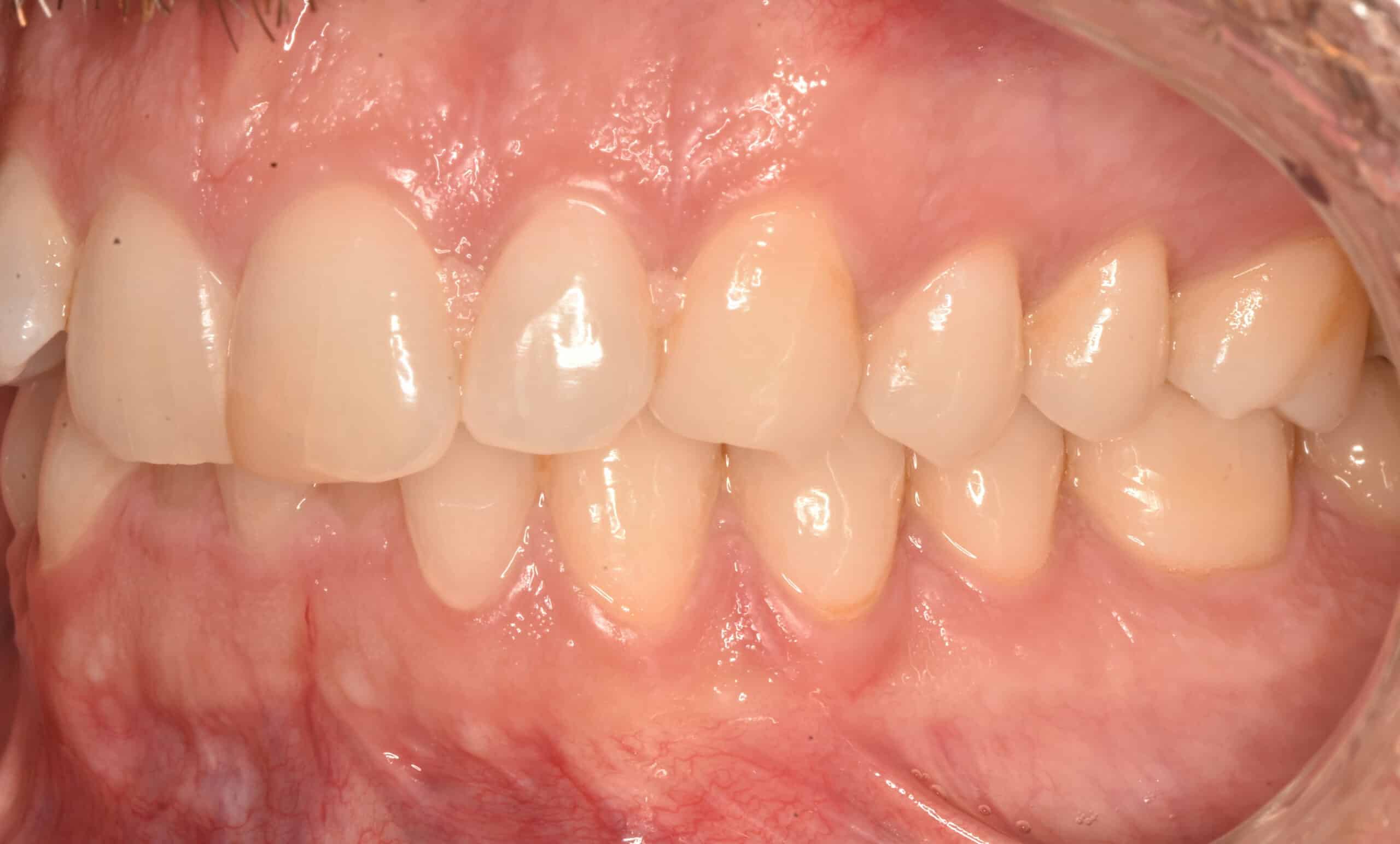
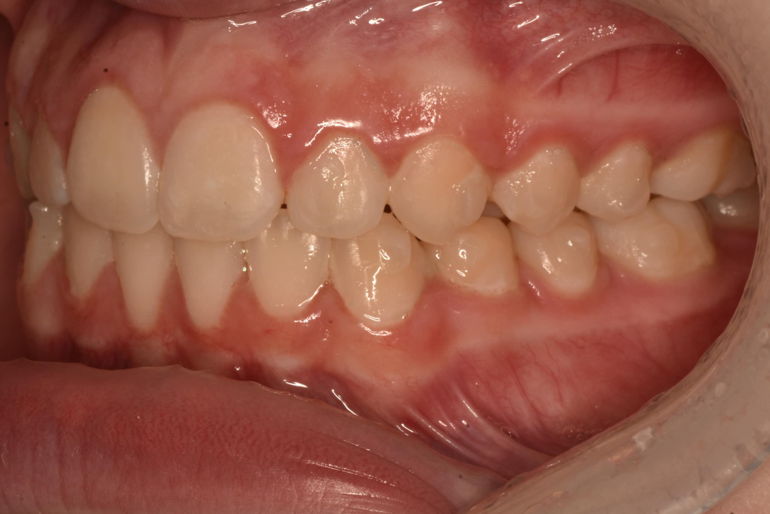
After

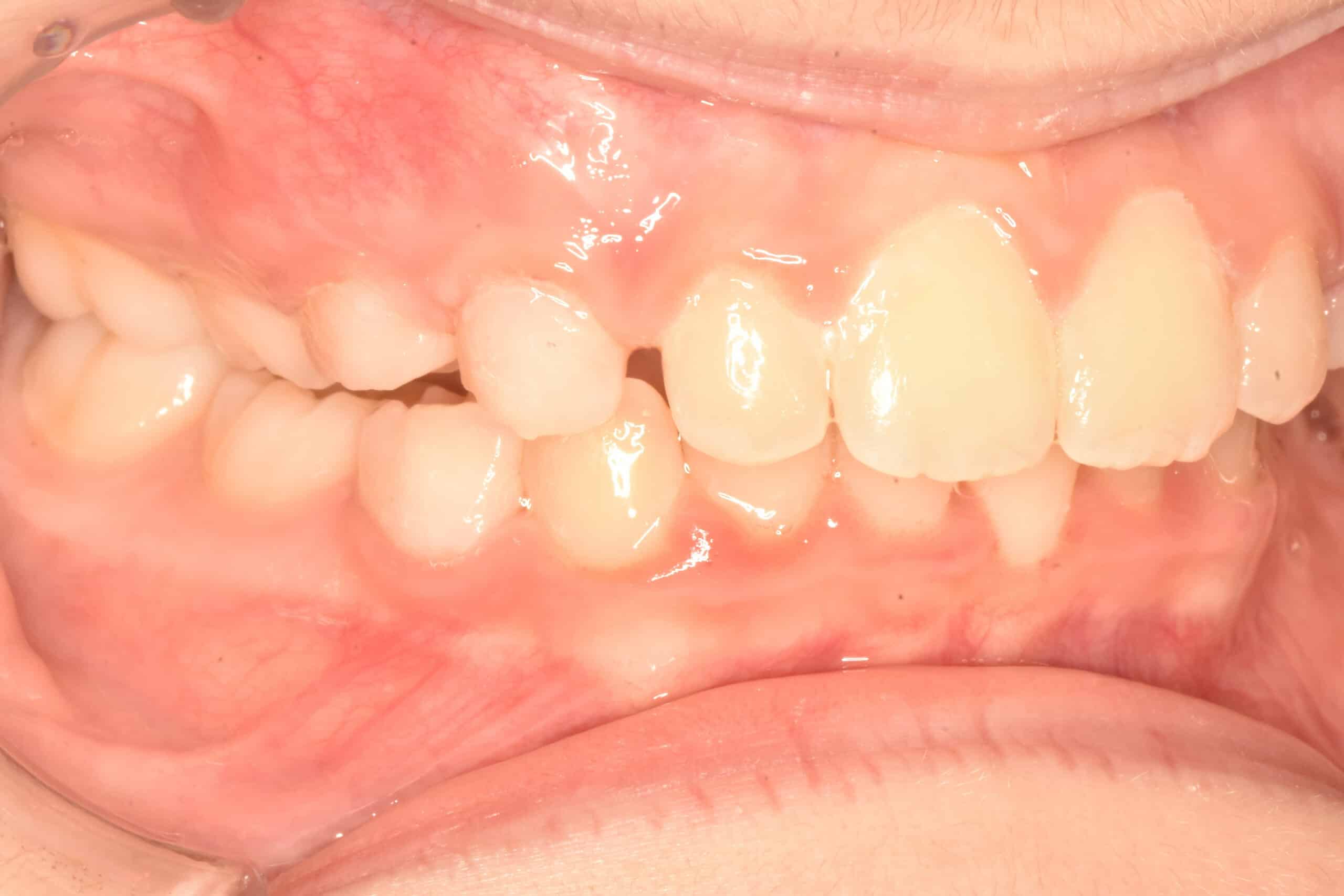
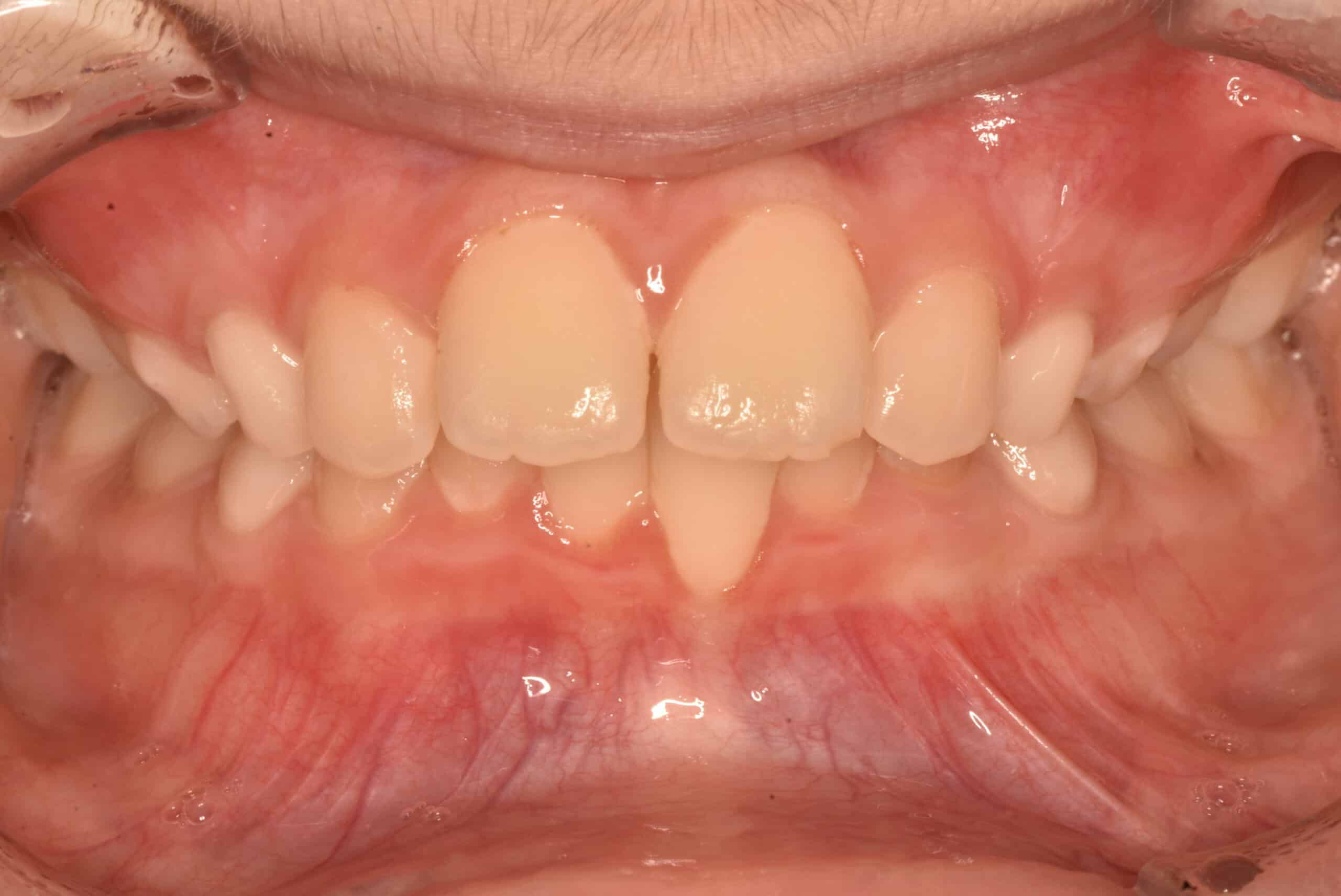
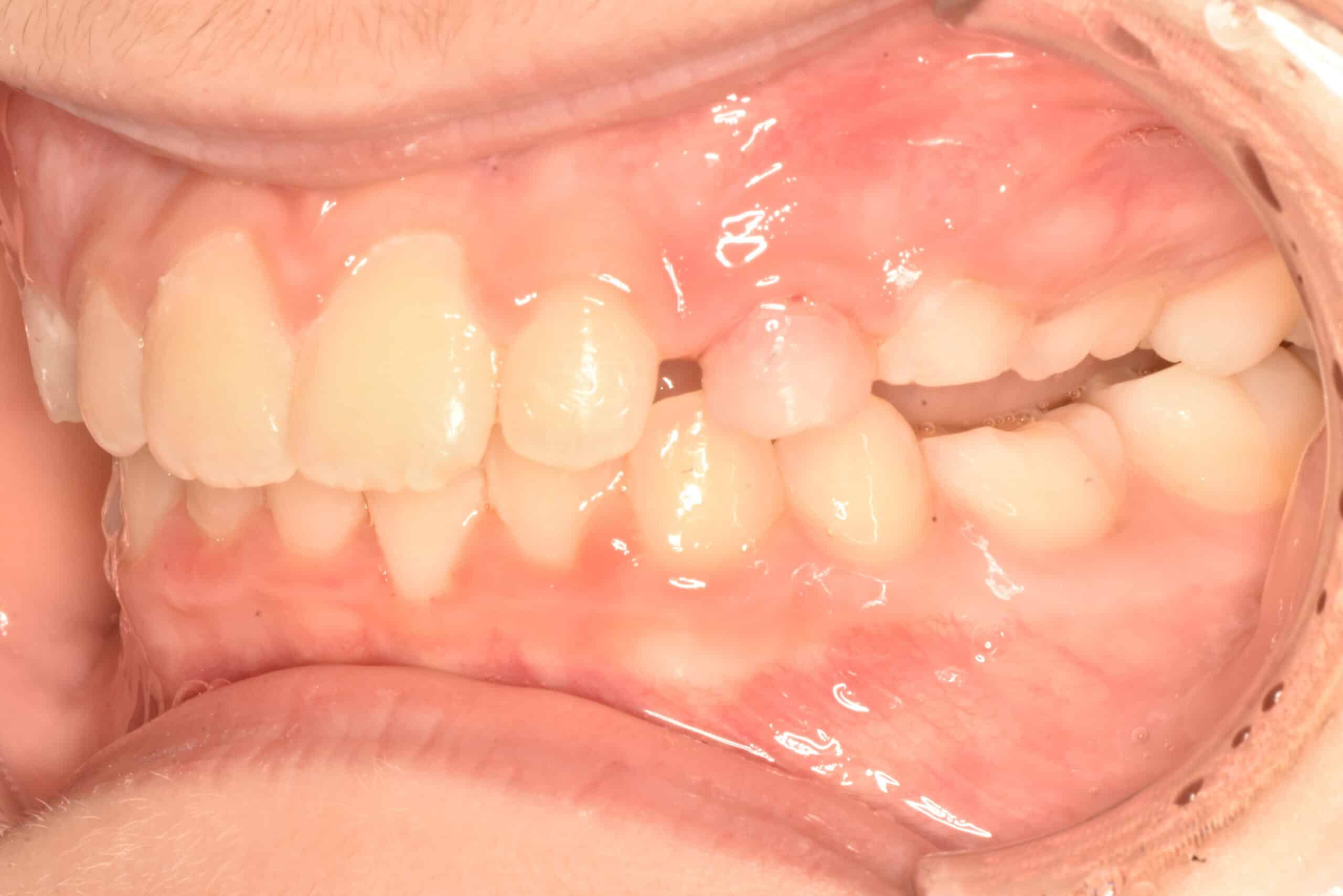
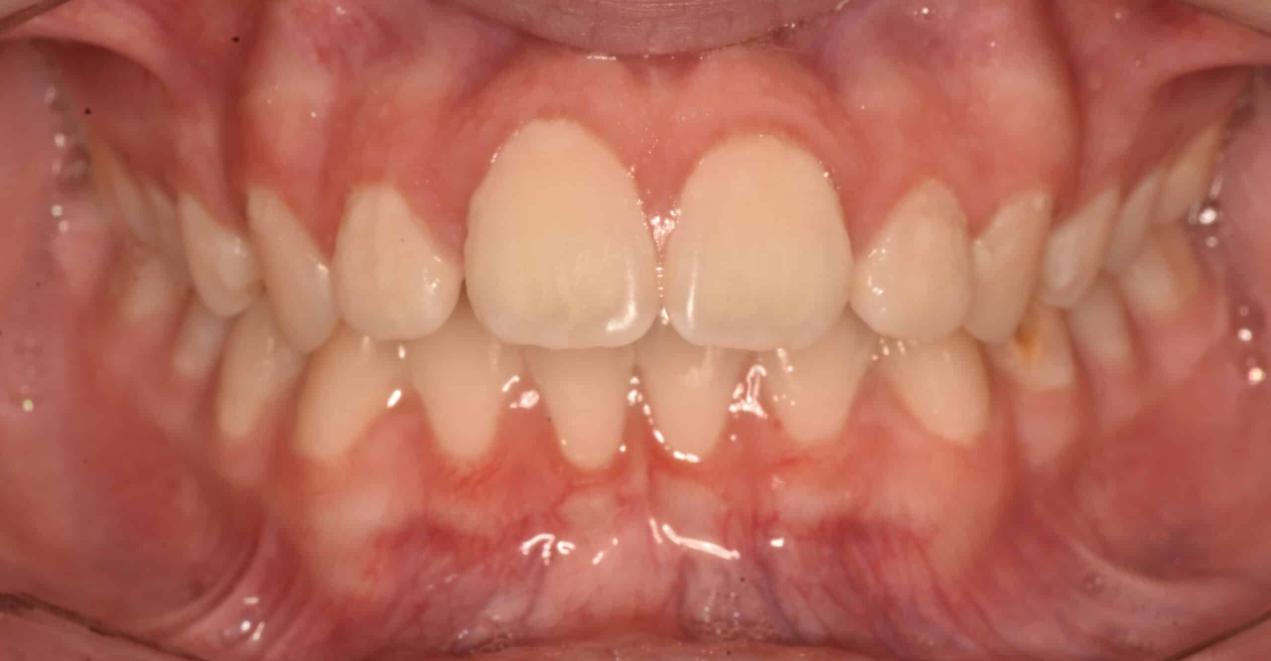
Before

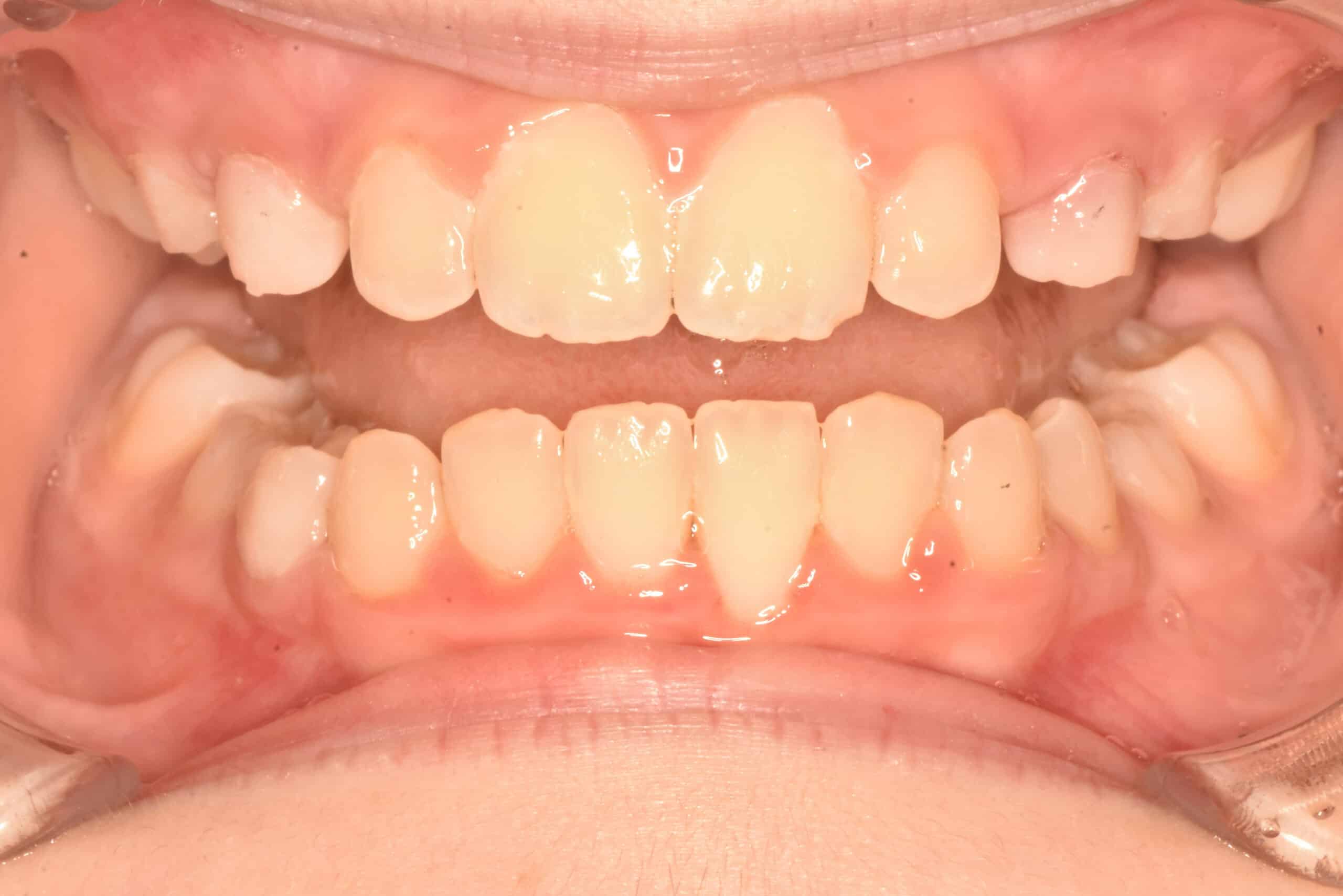
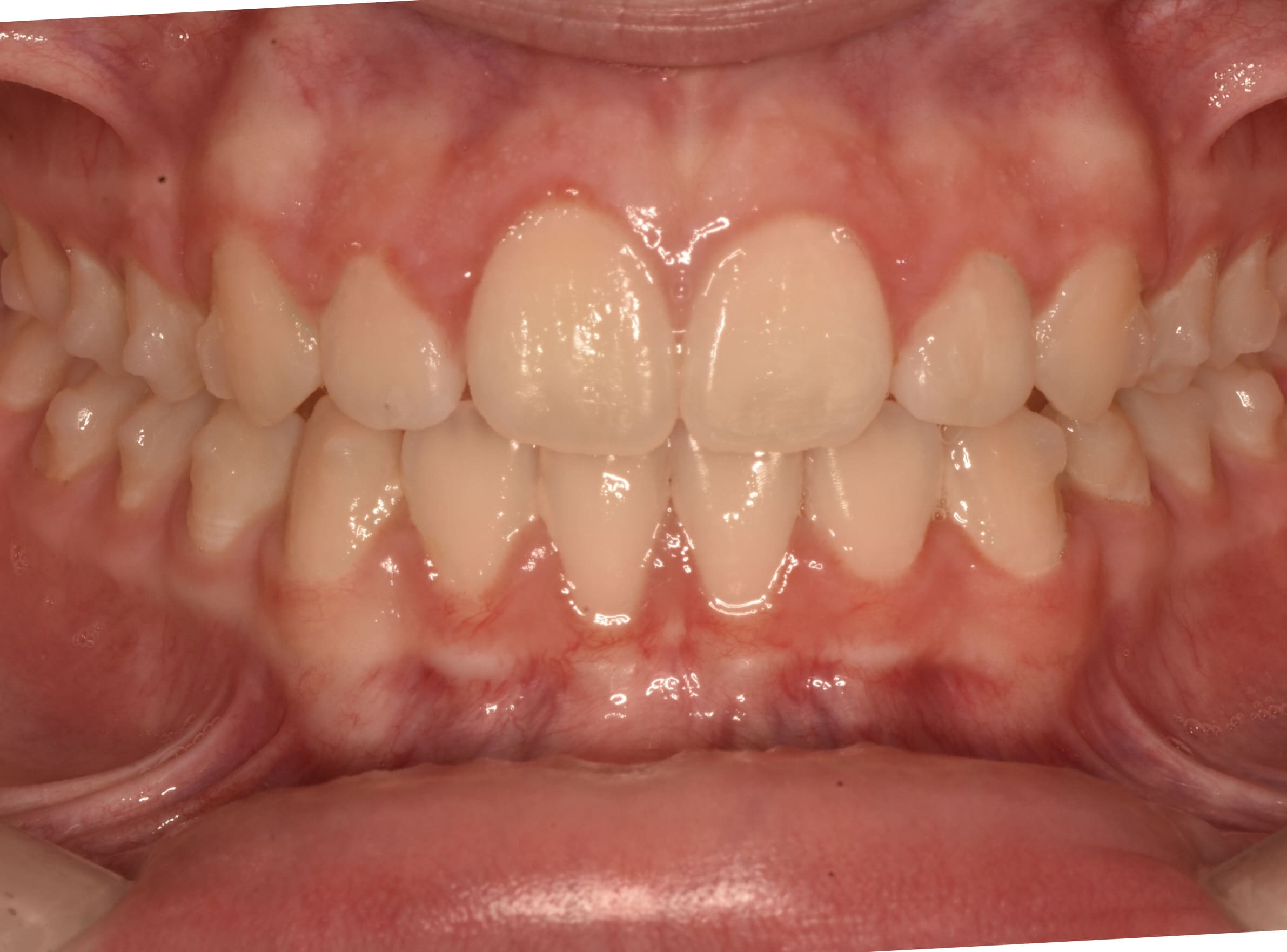
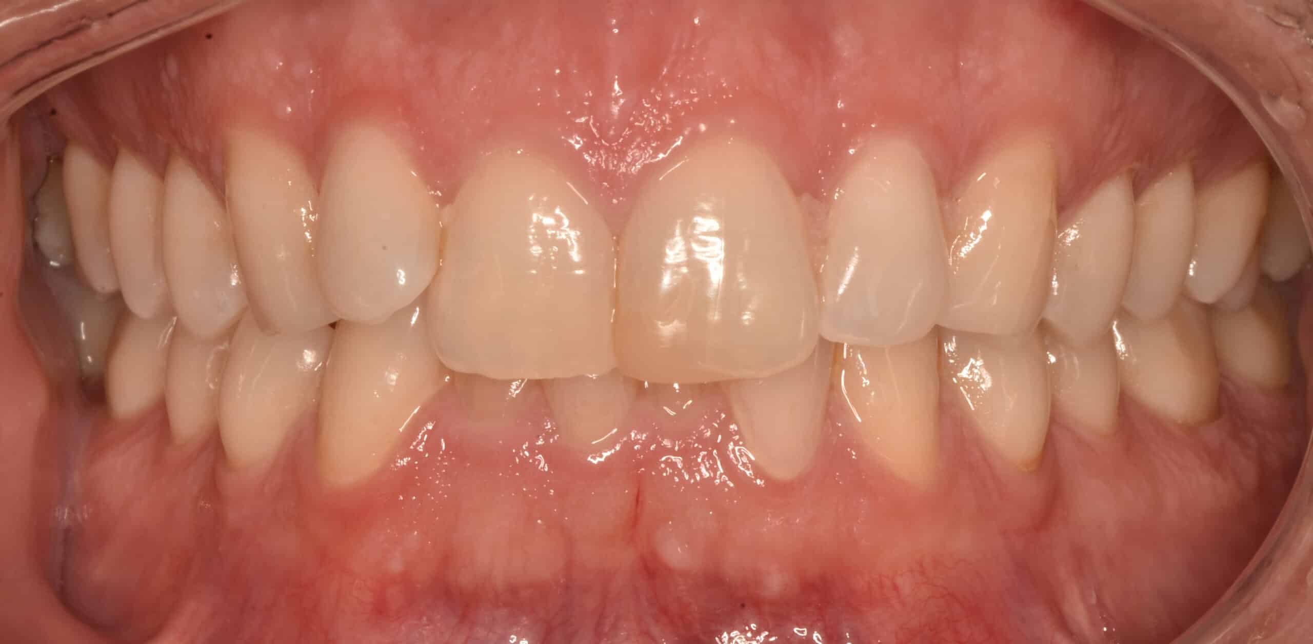
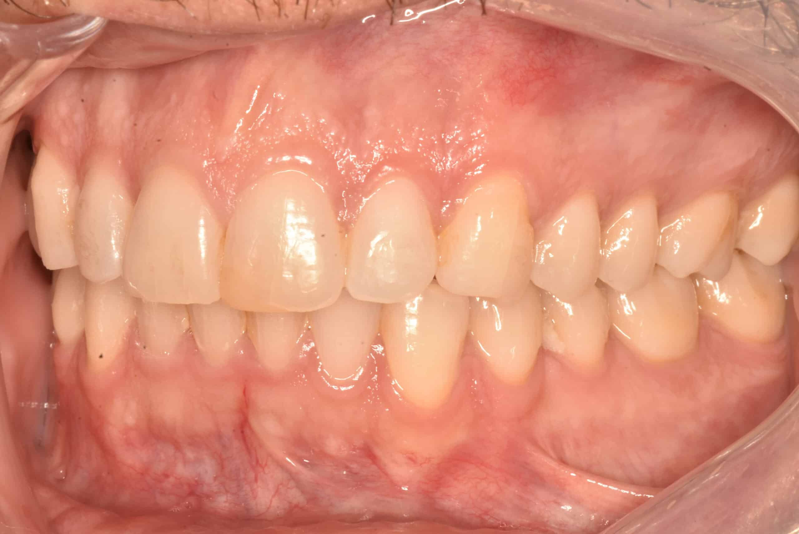
After

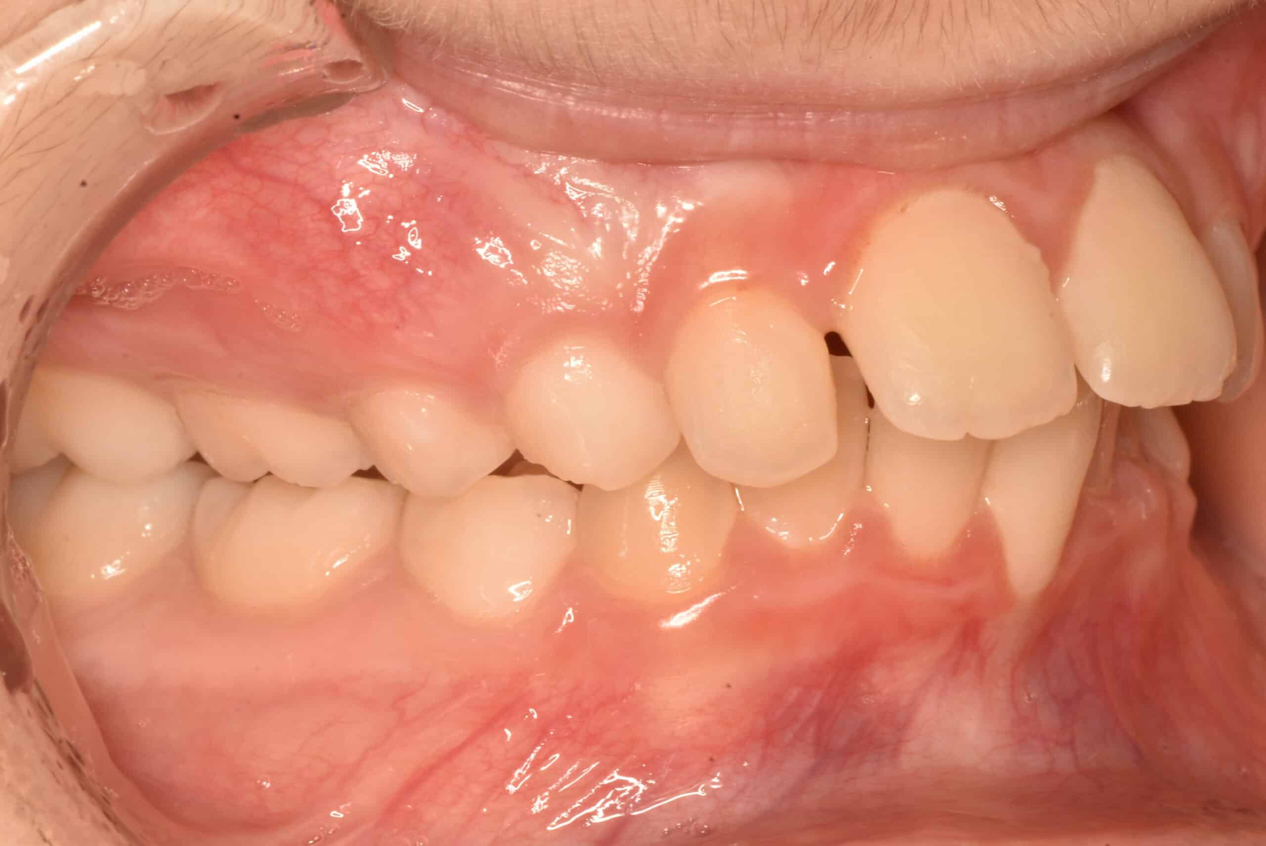
Before

After